Trám răng thẩm mỹ là giải pháp phục hình răng được sử dụng phổ biến nhờ chi phí thấp. Tuy nhiên vẫn có nhiều người chưa thực sự hiểu về phương pháp này. Do đó hãy cùng Bệnh viện Răng Hàm Mặt – Thẩm mỹ Worldwide tìm hiểu rõ hơn về trám răng thẩm mỹ trong bài viết sau đây nhé!
Trám răng thẩm mỹ là gì?
Trám răng thẩm mỹ là phương pháp thẩm mỹ nha khoa đơn giản nhằm khắc phục một số khuyết điểm trên răng như:
- Răng thưa
- Răng mẻ, vỡ
- Răng hở lợi…
Trám răng thẩm mỹ mang lại vẻ đẹp tự nhiên cho hàm răng, giúp duy trì chức năng nhai, đồng thời ngăn ngừa sự phát triển của sâu răng và một số bệnh lý răng miệng khác.

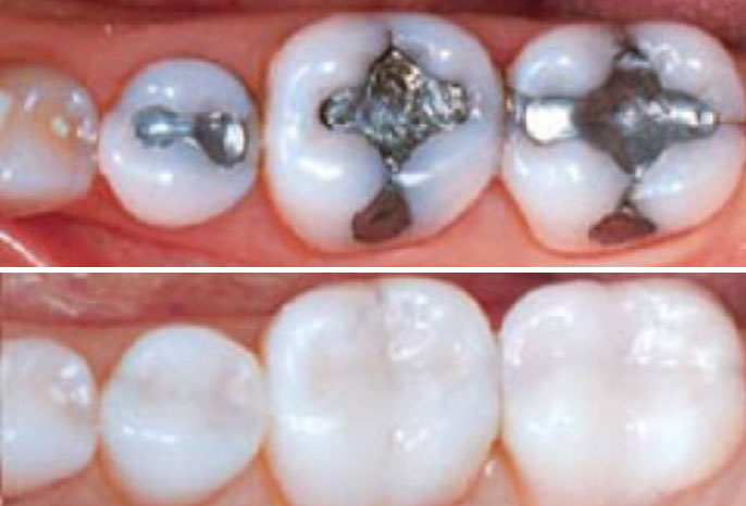
Vật liệu được sử dụng để trám răng là hợp chất Composite nha khoa, khi kết hợp với đèn chiếu laser, chất liệu này trở nên chắc chắn và cố định vào răng thật.
Khi nào nên trám răng thẩm mỹ?
Trám răng thẩm mỹ được áp dụng trong các trường hợp sau:
- Răng sâu nhẹ, mới xuất hiện những chấm đen nhỏ.
- Mòn cổ chân răng cấp độ nhẹ, khiến răng dễ bị chảy máu hoặc ê buốt khi ăn đồ nóng, lạnh (Trường hợp mòn cổ chân răng nặng khiến răng lung lay, bác sĩ sẽ thăm khám và tư vấn giải pháp điều trị triệt để hơn như bọc răng sứ vì trám răng sẽ không cải thiện được tình trạng mòn cổ chân răng nặng, răng vẫn sẽ lung lay và dẫn đến mất răng sau một thời gian trám răng).
- Răng bị gãy, mẻ, bị thay đổi hình dạng khiến người bệnh mất tự tin, ảnh hưởng đến khả năng nhai, răng trở nên nhạy cảm khi sử dụng thực phẩm quá nóng hoặc lạnh.
- Răng mọc không đều, giữa các răng có kẽ hở nhỏ gây mất thẩm mỹ, tạp mảng bám gây sâu răng, dễ nhồi nhét thức ăn.
Trám răng thẩm mỹ có hại đến răng không?
Trám răng thẩm mỹ có hại đến răng không? Trám răng thẩm mỹ có ảnh hưởng đến sức khỏe không?…Đây là thắc mắc chung của nhiều bệnh nhân khi tìm hiểu về kỹ thuật này.
Thực tế, trám răng thẩm mỹ được xếp vào loại hình nha khoa tổng quát, chỉ tác động bên ngoài răng, không hề xâm lấn đến cấu trúc bên trong.
Vật liệu được sử dụng để trám răng là Composite cao cấp, không gây kích ứng cho cơ thể, vật liệu này được liên kết chặt chẽ với răng dưới ánh sáng đèn laser, từ đó ngăn chặn sâu răng phát triển.
Tóm lại, trám răng thẩm mỹ hoặc trám răng sâu không hề ảnh hưởng đến cấu tạo bên trong răng (Tủy răng, men răng,…), do đó quá trình trám răng không gây đau nhức và cũng không ảnh hưởng đến nướu.
5 Ưu điểm của trám răng thẩm mỹ
Dưới đây là 5 ưu điểm của phương pháp trám răng thẩm mỹ
-
Độ chịu lực khá tốt
Vật liệu trám răng là Composite có độ cứng cao, hạn chế giãn nở hoặc bị bào mòn dưới tác động của lực nhai.
Tuổi thọ miếng trám có thể duy trì từ 4 – 5 năm tùy vào điều kiện vệ sinh và chăm sóc răng miệng.
-
Tính thẩm mỹ cao
Vật liệu trám răng Composite có màu sắc trắng đục, gần giống với răng thật nên khi đắp lên răng không bị lộ. Sau khi trám răng, bạn có thể tự tin giao tiếp vì đã khắc phục được các khuyết điểm trên răng.
-
Ngăn chặn sự phát triển của sâu răng
Khi sâu răng vừa chớm, bạn có thể trám răng sâu để ngăn chặn sự phát triển của ổ vi khuẩn, đây là giải pháp tiết kiệm chi phí và cũng rất hiệu quả.

Lưu ý: Trám răng sâu chỉ nên thực hiện trong trường hợp răng bị sâu nhẹ, lỗ sâu mới chớm hoặc chưa lớn. Trường hợp sâu răng nặng, lỗ sâu đã lan rộng đến tủy, trám răng không phải là giải pháp hữu hiệu. Tùy vào tình trạng thực tế, bác sĩ sẽ đưa ra lời khuyên phù hợp cho bạn.
-
Thực hiện nhanh
Trám răng thẩm mỹ chỉ thực hiện trên lớp ngoài của răng, không cần mài răng hay tác động sâu bên trong nên thời gian thực hiện nhanh chóng. Thông thường chỉ mất từ 10 – 15 phút để hoàn thiện 1 ca trám răng thẩm mỹ (với số lượng răng cần trám ít).
-
Chi phí thấp
Chi phí trám răng thẩm mỹ tương đối thấp, dao động từ 200.000 – 500.000/ răng, tùy vào địa chỉ nha khoa và mức độ khuyết điểm của răng.
Trám răng là giải pháp khắc phục khuyết điểm trên răng cực hữu hiệu trong các trường hợp mắc khuyết điểm nhẹ. Tuy có độ cứng cao và thẩm mỹ tốt nhưng trám răng chưa thể so sánh với bọc răng sứ hay dán veneer, phương pháp này được xem là cách khắc phục tạm thời cho những bệnh nhân không muốn xâm lấn răng hoặc muốn tiết kiệm chi phí.
Biến chứng khi trám răng thẩm mỹ sai kỹ thuật
Tuy sở hữu nhiều ưu điểm nhưng trám răng thẩm mỹ cũng tiềm ẩn những biến chứng cho răng miệng nếu thực hiện không đúng kỹ thuật, dưới đây là biến chứng điển hình:
- Gây tê hoặc đau nhức do cạo vết sâu răng quá nhiều trước khi trám răng.
- Sử dụng vật liệu trám răng chất lượng thấp, gây ê buốt khi ăn uống.
- Chữa ổ răng sâu không triệt để, khiến sâu răng tái phát hoặc phát triển nhanh hơn trong chân răng.
- Trám răng thẩm mỹ sai kỹ thuật khiến sâu răng tái phát….
Trên đây là một vài thông tin về trám răng thẩm mỹ – Giải pháp khắc phục khuyết điểm răng nhanh chóng, tiết kiệm. Để nắm rõ hơn về giải pháp này, hãy liên hệ với Bệnh viện Răng Hàm Mặt Worldwide theo thông tin cuối bài viết.

